- 14 marca 2016
- Comment: 0
- Fizjoterapia, Porady
DYSKOPATIA – diagnoza i leczenie
Jest to powszechnie występująca choroba kręgosłupa. Dotyka coraz częściej bardzo młodych ludzi. Jest wynikiem przeciążenia kręgosłupa długotrwale utrzymywaną pozycją siedzącą i niedoborem ruchu.
Diagnozy polega na ustaleniu przyczyny bólu pleców lub karku pacjenta, bólu promieniującego po nerwach do kończyny dolnej lub górnej oraz innych objawów.
Diagnoza dyskopatii
Diagnozę opiera się o:
– Badanie lekarskie. W zależności od objawów u pacjenta, badania przedmiotowe mogą zawierać jedną lub więcej z następujących czynności:
– Badanie odruchów nerwowych. Test ten polega na stukaniu w konkretne obszary nogi lub ręki za pomocą młotka neurologicznego. Jeśli pacjent wykazuje niewielką reakcję odruchową lub jej brak – to może wskazywać na ucisk lub uszkodzenie korzenia nerwu rdzeniowego.
– Badanie siły mięśni. W celu uzyskania lepszego zrozumienia tego, czy korzeń nerwu rdzeniowego jest uciskany przez przepuklinę dysku, lekarz może przeprowadzić badanie neurologiczne w celu oceny siły mięśni. Pomaga to w ustaleniu, czy istnieje zanik mięśni, skurcze lub jakiekolwiek nieprawidłowe ruchy.
– Badanie bólu podczas palpacji lub ruchu. Badanie palpacyjne (przez dotyk) pozwala zdobyć informacje o tym, co naprawdę przynosi ból. Na przykład:
– Ból w okolicy stawu krzyżowo-biodrowego może wskazywać, że pacjent ma zaburzenia czynności stawów krzyżowo-biodrowych.
– Ból przy prostowaniu nogi może być oznaką ucisku na nerw.
– Ból podczas nacisku na dolną część pleców może wskazywać na ból wynikający z choroby zwyrodnieniowej krążka międzykręgowego.
Rys. 1. Przepuklina krążka międzykręgowego z uciskiem na korzeń nerwowy.
– Przegląd specyficznych objawów. Kompletny przegląd objawów obejmie lokalizację bólu, opis sposobu, w jaki pacjent ból odczuwa (piekący, kłujący, ostry – przeszywający, jak prąd elektryczny ) i czy niektóre rodzaje aktywności, pozycji lub zabiegi sprawiają, że ból odczuwany jest miej lub bardziej.
– Przegląd historii medycznej. Pełne tło medyczne jest ważne, aby wykluczyć (lub potwierdzić ) inne możliwe przyczyny , które mogą powodować ból pacjenta. Historia zawiera informacje, takie jak powtarzające się jakiekolwiek problemy zdrowotne, poprzednie diagnozy, przebyte zabiegi i operacje chirurgiczne, reakcje na te zabiegi, przyjmowane leki, i inne problemy zdrowotne.
– Badania Po uformowaniu opinii na temat przyczyn bólu pacjenta, badanie diagnostyczne może prowadzić do potwierdzenia diagnozy lub pomaga w uzyskaniu dodatkowych informacji, takich jak lokalizacja przepukliny dysku i ucisku korzeni nerwowych. Badania diagnostyczne mogą obejmować:
– Tomografię komputerową. Tomografia komputerowa (CT) skanuje nasze ciało za pomocą promieni rentgenowskich i we współpracy z komputerem formatuje obraz do przekrojów kręgosłupa.
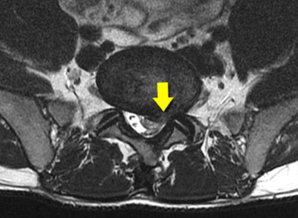
– MRI. Obrazowanie metodą rezonansu magnetycznego (MRI) pozwala lekarzom czulej i dokładniej oceniać nerwy rdzeniowe i anatomię, w tym wysokość dysków, stopień ich nawodnienia i konfigurację.
RYS.2. Duża przepuklina dokanałowa L5-S1.
Rys.3. Przepuklina z uciskiem na korzeń nerwowy.
– Badanie EMG ( elektromiografia) – badanie polegające na sprawdzaniu sprawności przewodzenia impulsów nerwowych przez nerw. Pokazuje stopień i rodzaj uszkodzenia nerwów.
Ważne jest, aby pamiętać, że wnioski z badań MRI i innych badań diagnostyczne, nie są same w sobie diagnozą przepukliny dysku lub choroby zwyrodnieniowej krążka. Ważny jest wynik badania pacjenta a objawy muszą pasować do MRI i innych wyników badań. To prowadzi do uzyskania właściwej diagnozy lekarskiej. Tylko mając właściwą diagnozę ułożyć można skuteczny plan leczenia dla pacjenta.
Leczenie dyskopatii
Aby ustalić skuteczne leczenie należy spotkać się ze specjalistą od schorzeń kręgosłupa, takim jak ortopeda, neurochirurg lub fizjoterapeuta, konieczne jest uzyskanie dokładnej diagnozy klinicznej. Podstawowe możliwości leczenia bólów to :
– farmakoterapia,
– terapia manualna z mobilizacja tkanek miękkich i manipulacji,
– fizykoterapia,
– kinezyterapia ( leczenie ruchem),
– iniekcje około kręgosłupowe,
– zabiegi operacyjne i inne inwazyjne zabiegi.
W prawie wszystkich przypadkach bólu pleców – ćwiczenia i aktywność fizyczna odgrywają ważną rolę w rehabilitacji i zapobiegają nawracaniu bólu. Z tego powodu ważne jest, aby spotkać się z odpowiednio wyszkolonym fizjoterapeutą, aby szybko i skutecznie uwolnić się od bólu oraz nauczyć się poprawnego wykonywania zalecanych ćwiczeń oraz opracować program ćwiczeń w domu.
Zespół lekarzy i fizjoterapeutów FitMedica – wyspecjalizowanych w leczeniu schorzeń kręgosłupa zaprasza do skorzystania a naszej oferty.
Dowiedz się więcej:
Lordoza szyjna – jej fizjologia, zaburzenia i sposoby postępowania
Lordoza szyjna – jej fizjologia, zaburzenia i sposoby postępowania Kręgosłup człowieka składa się z kręgów, które tworzą odcinki.…
Zespół zamrożonego barku
Zespół zamrożonego barku jest częstym schorzeniem, w którym torebka stawowa barku i więzadła otaczające staw kurczą się ,…
Zespół cieśni nadgarstka
Zespół cieśni nadgarstka Definicja zespołu cieśni nadgarstka: Jest to grupa objawów, takich jak drętwienie, mrowienie oraz osłabienie siły…




